
Εικόνα 1: Απεικόνιση του εξωκράνιου και ενδοκράνιου τμήματος της έσω καρωτίδας αρτηρίας
Αγγείο είναι μία σωληνοειδής ανατομική δομή που μεταφέρει αίμα (οπότε και καλείται αιματικό αγγείο) ή λέμφο (οπότε και καλείται λεμφικό αγγείο) κατά μήκος του ανθρωπίνου σώματος. Τα αιματικά αγγεία χωρίζονται σε αρτηρίες, που ασχολούνται με τη μεταφορά του αίματος από την καρδιά προς τα διάφορα όργανα του σώματος, και φλέβες, οι οποίες επιστρέφουν το αίμα από τα διάφορα όργανα του σώματος πίσω στην καρδιά.
Κατά συνέπεια, εγκεφαλικά αγγεία καλούνται όλες εκείνες οι αρτηρίες και φλέβες που συμμετέχουν στην αιματική κυκλοφορία του εγκεφάλου. Από ανατομικής άποψης τα εγκεφαλικά αγγεία χωρίζονται στο εξωκράνιο τμήμα τους, που βρίσκεται εκτός της κεφαλής, και στο ενδοκράνιο τμήμα τους, το οποίο εντοπίζεται εντός της κρανιακής κοιλότητας (Εικόνα 1).
Το triplex των εξωκράνιων εγκεφαλικών αγγείων αποτελεί μία υπερηχογραφική μέθοδο απεικόνισης της αιματικής ροής του εξωκράνιου τμήματος των εγκεφαλικών αγγείων. Αποτελεί μία από τις σημαντικότερες εξελίξεις στο τομέα της υπερηχογραφίας, καθώς έδωσε τη δυνατότητα στον εξεταστή να επιτύχει τη ταυτόχρονη μελέτη τόσο της μορφολογίας ενός αγγείου όσο και της αιματικής ροής εντός αυτού.
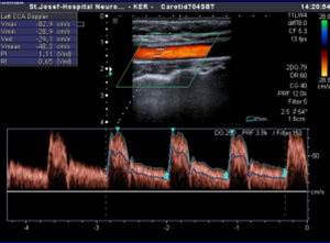
Το όνομα αυτής της μεθόδου προέρχεται από το συνδυασμό 1) της δισδιάστατης απεικόνισης του αυλού και της αιματικής ροής του αγγείου (duplex) με 2) την έγχρωμη απεικόνιση της κατεύθυνσης ροής του αίματος (colour). Έτσι προέκυψε η ονομασία της μεθόδου ως colour duplex ή triplex. (Εικόνα 2)

Εικόνα 2: Eξέταση triplex της αριστερής κοινής καρωτίδας αρτηρίας

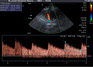
Εικόνα 3: Διακρανιακό triplex της δεξιάς μέσης εγκεφαλικής αρτηρίας
Το triplex των ενδοκράνιων εγκεφαλικών αγγείων είναι η μέθοδος υπερηχογραφικής απεικόνισης της αιματικής ροής του ενδοκράνιου τμήματος των εγκεφαλικών αγγείων (Εικόνα 3). Για την πραγματοποίηση της εξέτασης απαιτείται η επαρκής διείσδυση των υπερηχητικών κυμάτων στις εσωτερικές κοιλότητες του κρανίου. Γι αυτό τον σκοπό χρησιμοποιούνται ειδικές κεφαλές υπερήχων (με χαμηλή συχνότητα 2-4Mhz), οι οποίες εφάπτονται απο τον εξεταστή σε ειδικά σημεία του κρανίου με λεπτό πάχος (τα λεγόμενα οστικά “παράθυρα” απεικόνισης).
Με τη μέθοδο αυτή είναι δυνατή όχι μόνο η απεικόνιση της ροής των σημαντικότερων αγγείων του εγκεφάλου, αλλά και λοιπών σημαντικών δομών, που μπορεί σχετίζονται με την κινητικότητα (μέλαινα ουσία) ή την ροή του εγκεφαλονωτιαίου υγρού (κοιλίες).
To triplex των εξωκράνιων εγκεφαλικών αγγείων προσφέρει στο νευρολόγο χρήσιμες πληροφορίες γύρω από:
1) τη μορφολογία του τοιχώματος και του αυλού ενός αγγείου
2) το μέγεθος και τη μορφολογία (ηχογένεια) των αθηρωματικών πλακών μέσα σε ένα αγγείο (αρτηριοσκληρυντικές αλλοιώσεις) (Εικόνα 4)
3) την εμφάνιση ή όχι σημαντικής στένωσης ενός αγγείου
To triplex των ενδοκράνιων εγκεφαλικών αγγείων προσφέρει στο νευρολόγο χρήσιμες πληροφορίες γύρω από:
1) την επάρκεια αιματικής ροής εντός του εγκεφάλου
2) την εμφάνιση ή όχι σημαντικής στένωσης του ενδοκράνιου τμήματος ενός εγκεφαλικού αγγείου
3) τη μορφολογία σημαντικών δομών του εγκεφάλου π.χ. της μέλαινας ουσίας (κινητικότητα)

Εικόνα 4: Ασταθής υποηχογενής αθηρωματική πλάκα στον καρωτιδικό βολβό
Για την πραγματοποίηση του triplex των εξωκράνιων και ενδοκράνιων εγκεφαλικών αγγείων δεν χρειάζεται καμία απολύτως προετοιμασία. Η εξεταση πραγματοποιείται σε θέση κατάκλισης και σε πλήρη ηρεμία.
Οι σημαντικότερες ενδείξεις πραγματοποίησης της εξέτασης αυτής είναι:
1) Σε οξύ εγκεφαλικό επεισόδιο για τη διαπίστωση στένωσης ή απόφραξης ενός αγγείου με απώτερο στόχο τη λήψη θεραπευτικής απόφασης διάνοιξης του (θεραπεία θρομβόλυσης ή θρομβεκτομής).
2) Για την αποσαφήνιση της αιτίας ενός εγκεφαλικού επεισοδίου (π.χ. στένωση καρωτίδας ή σπονδυλικής αρτηρίας)
3) Για την παρακολούθηση της πορείας και της εξέλιξης μίας γνωστής στένωσης ενός αγγείου (π.χ. καρωτίδας) σε βάθος χρόνου
4) Για την εκτίμηση της μορφολογίας μίας αθηρωματικής πλάκας
5) Για την εκτίμηση της αιμάτωσης του εγκεφάλου κατά τη διάρκεια μιας καρδιοχειρουργικής ή αγγειοχειρουργικής επέμβασης, ώστε να γνωρίζει ο χειρουργός αν και κατά πόσο επηρεάζεται.
Η αιματική ροή του εγκεφάλου είναι ένα “μαύρο κουτί”, του οποίου τις πτυχές καλείται να φωτίσει ο θεράπων νευρολόγος, με απώτερο στόχο να απαντήσει στα ερωτήματα του αρρώστου.
Λαμβάνοντας υπόψιν ότι τα σημαντικότερα εγκεφαλικά αγγεία έχουν δύο τμήματα, το εξωκράνιο (τμήμα εκτός του κρανίου) και το ενδοκράνιο (τμήμα εντός του κρανίου), η υπερηχογραφική εξέταση ενός και μόνο τμήματος τους (π.χ. εξωκράνιο τμήμα με πραγματοποίηση triplex) αποκαλύπτει μόνο τη μισή αλήθεια γύρω από το “μαύρο κουτί” που καλείται εγκεφαλική ροή.
Για την ολοκληρωμένη απάντηση των ερωτημάτων του ασθενούς γύρω από τον κίνδυνο εγκεφαλικού επεισοδίου, απαιτείται η μελέτη της εγκεφαλικής αιματικής ροής και με τις δύο μεθόδους σε μία συνεδρία (εξωκράνιο και ενδοκράνιο triplex).
O Αντώνης Κερασνούδης είναι κάτοχος του διπλώματος εκπαιδευτή υπερηχογραφίας των αγγείων του εγκεφάλου (teaching level για triplex καρωτίδων, σπονδυλικών αρτηριών και φλεβών, καθώς και διακρανιακό υπερηχογράφημα) της Ευρωπαϊκής Εταιρείας Νευρουπερηχογραφίας (European Society of Neurosonology and Cerebral Haemodynamics), καθώς και κριτής επιστημονικών δημοσιεύσεων γύρω από τα παραπάνω θέματα του αμερικανικού περιοδικού Journal of Neuroimaging.